Radiology Image Archives

MULTILOCULAR RADIOLUCENCY IN ANTERIOR MANDIBLE
ext
MULTILOCULAR RADIOLUCENCY IN POSTERIOR MANDIBLE
ext-2
MULTILOCULAR RADIOLUCENCY IN POSTERIOR MANDIBLE
2
ANTERIOR MANDIBLE RADIOLUCENCY
3e8da97f-7145-4048-8048-fda9580584f7-original
GENERALISED HAIR-ON END APPEARANCE IN MANDIBLE
Screen Shot 2017-04-11 at 4.17.33 PM
JAW RADIOLUCENCY-ANTERIOR MAXILLA
4d8029a8-4984-4ff7-9e38-0aeb0291dcd8-original
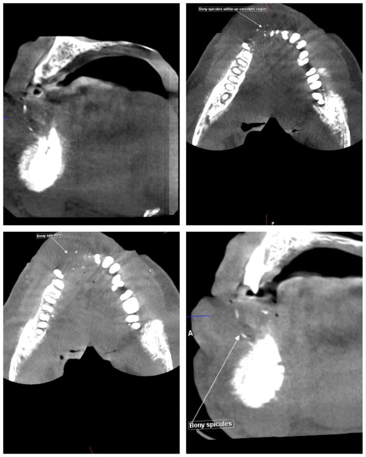
90 year old male with h/o soft-tissue swelling in anterior mandible since a year and progressively decreasing mouth opening
Screen Shot 2017-04-11 at 4.40.46 PM
HU ESTIMATION OF RADIOLUCENCY
screen-shot-2016-12-13-at-7-58-32-pm
JAW RADIOLUCENCY IN POSTERIOR MANDIBLE
Screen Shot 2017-04-11 at 3.09.56 PM
ENDODONTIC EVALUATION
DILACERATED ROOT.png
DILACERATED ROOT
romexis_1
CASE OF ROOT FRACTURE
Screen Shot 2016-12-13 at 7.02.24 AM
PRE-IMPLANT PLANNING
romexis_4
MUCOSAL THICKENING IN SINUS
Screen Shot 2017-04-11 at 3.00.48 PM
NERVE TRACING FOR IMPACTED MOLAR
Screen Shot 2017-04-11 at 4.22.26 PM
CASE OF EXTRA ROOT CANALS
Screen Shot 2017-04-11 at 4.30.34 PM
IMPACTED MOLAR WITH DILACERATED ROOT
Screen Shot 2017-04-11 at 4.20.10 PM
3D PANORAMIC IMAGE

Leave a comment